Yonsei Tov Dental Clinic

충치치료는
빠를 수록 좋습니다

충치는 자연적으로 회복되지 않기 때문에 증상은 악화됩니다. 방치된 충치는 더 많은 시간과 비용, 고통이 따르기 때문에 정기검진을 통해 빠른 치료를 받는 것을 추천드립니다.

 > 초기 충치치료 : 레진(충전)


 > 중기 충치치료 : 인레이 / 온레이


 > 심한 충치치료 : 신경치료 및 크라운


Yonsei Tov Dental Clinic

충치 진행 과정

01

법랑질의 표면 충치 시작

법랑질은 치아 위쪽, 구강에

노출되는 부분입니다.

02

상아질까지 충치 진행

충치가 상아질까지 들어가게 되면, 그 진행 범위가 넓습니다.

03

치아 신경 조직 손상

치아의 표면뿐만 아니라

안쪽까지 까맣게 보입니다.

04

치아 뿌리까지 손상

방치할 경우 치아뿌리와

뿌리주변까지 농이 생깁니다.

mobile background

Yonsei Tov Dental Clinic

통합진료


약속 드릴 수 있는 연세토브치과의 진료 원칙은
가능한 자연치아를 최대한 살리는 치료입니다.

Yonsei Tov Dental Clinic

충치치료는
빠를 수록 좋습니다


충치는 자연적으로 회복되지 않기 때문에 증상은 악화됩니다.
방치된 충치는 더 많은 시간과 비용, 고통이 따르기 때문에
정기검진을 통해 빠른 충치치료를 받는 것을 추천드립니다.

> 초기 충치치료 : 레진(충전)


> 중기 충치치료 : 인레이 / 온레이


> 심한 충치치료 : 신경치료 및 크라운


Yonsei Tov Dental Clinic

충치 진행 과정


법랑질의 표면 충치 시작


상아질까지 충치 진행


치아 신경 조직 손상


치아 뿌리까지 손상


법랑질은 치아 위쪽, 구강에

노출되는 부분입니다.

충치가 상아질까지 들어가게 되면,

그 진행 범위가 넓습니다.

치아의 표면뿐만 아니라

안쪽까지 까맣게 보입니다.

충치를 방치할 경우 치아 뿌리와

뿌리 주변까지 농이 생깁니다.

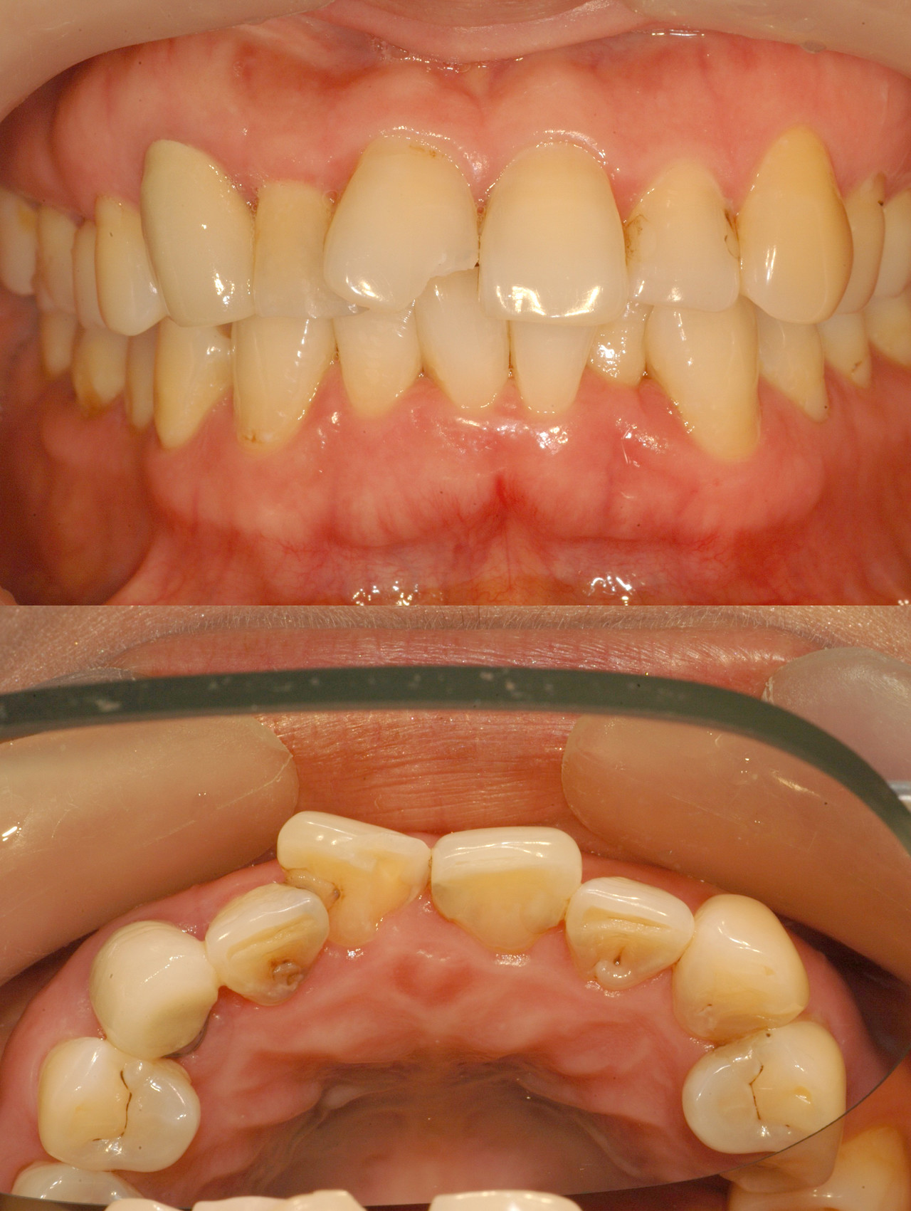
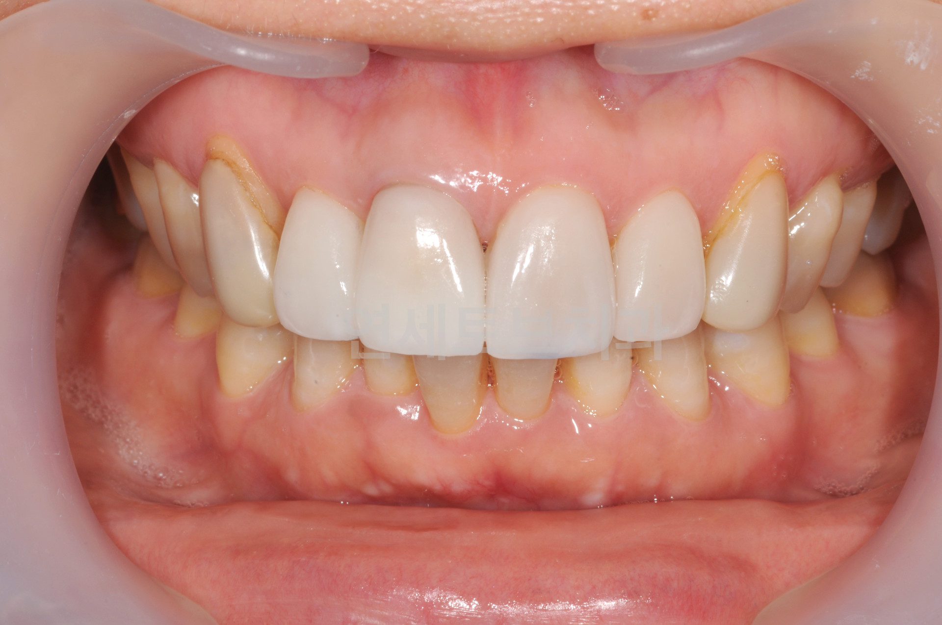
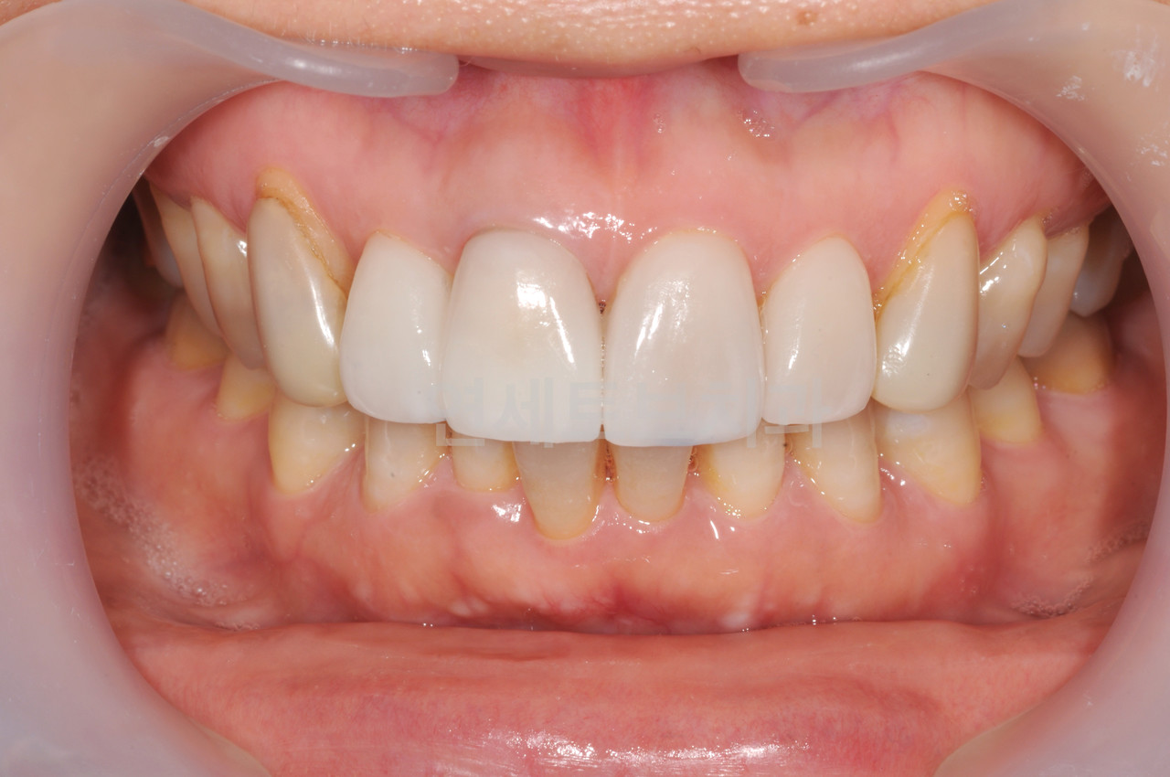
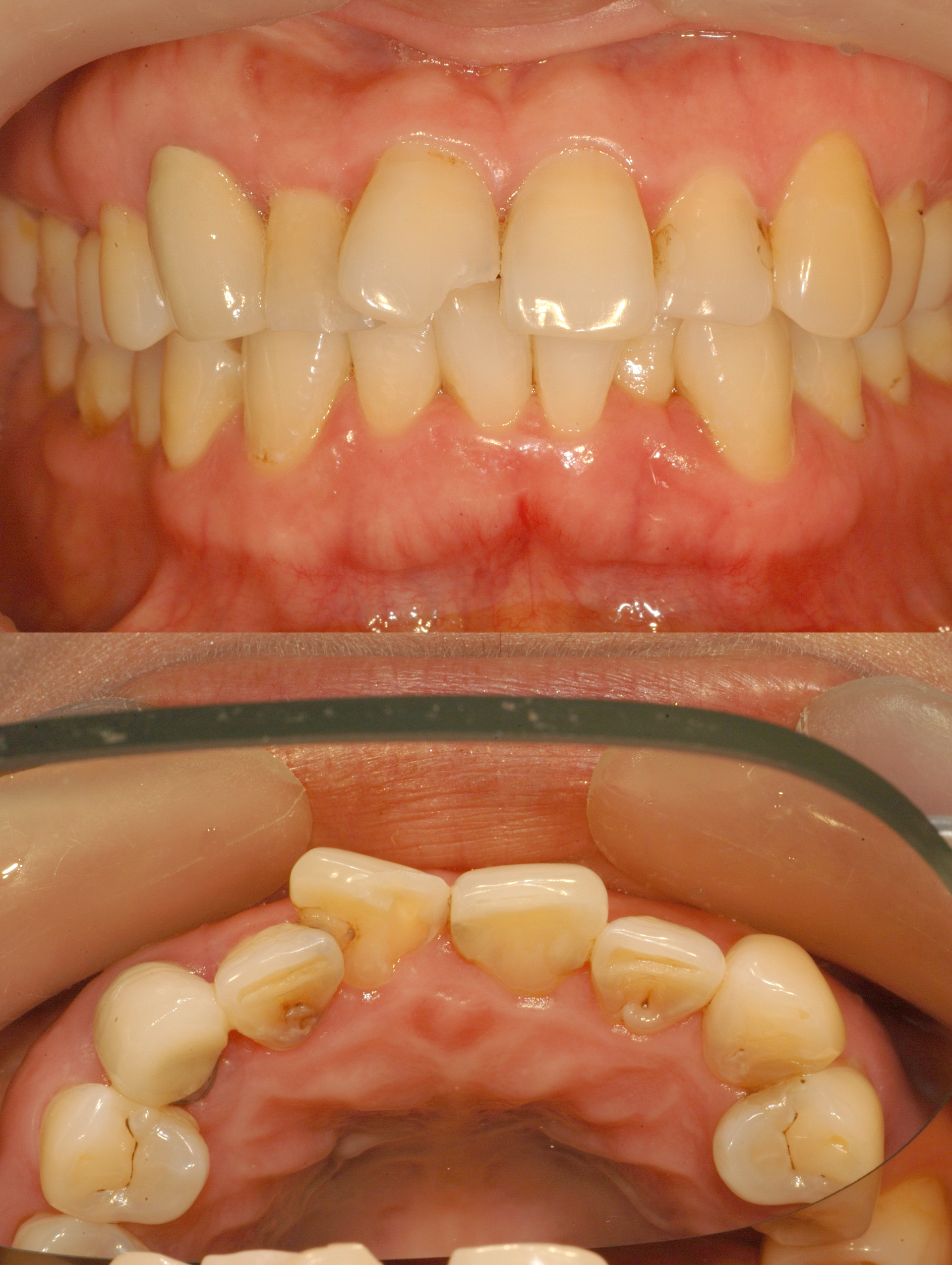
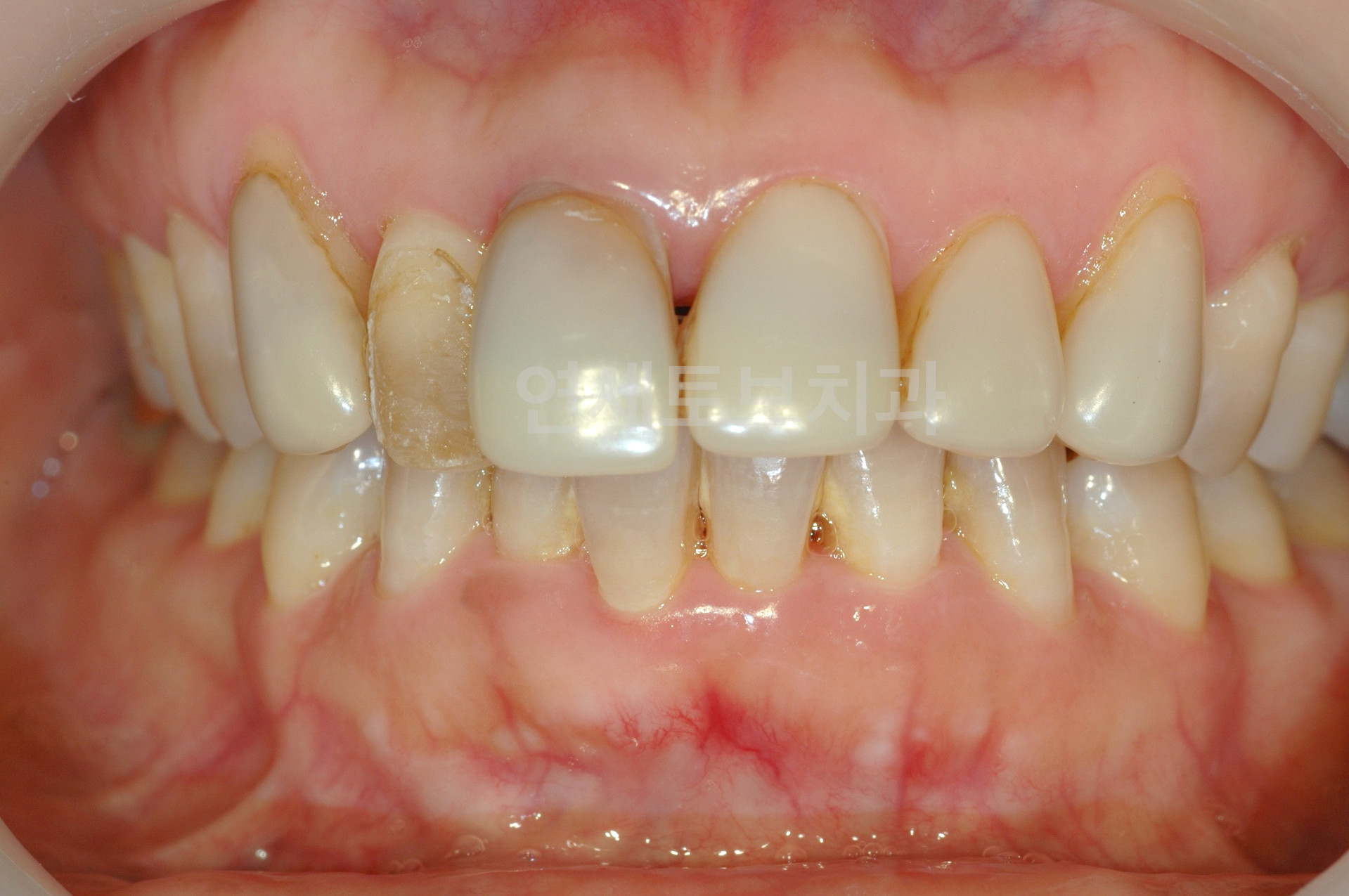
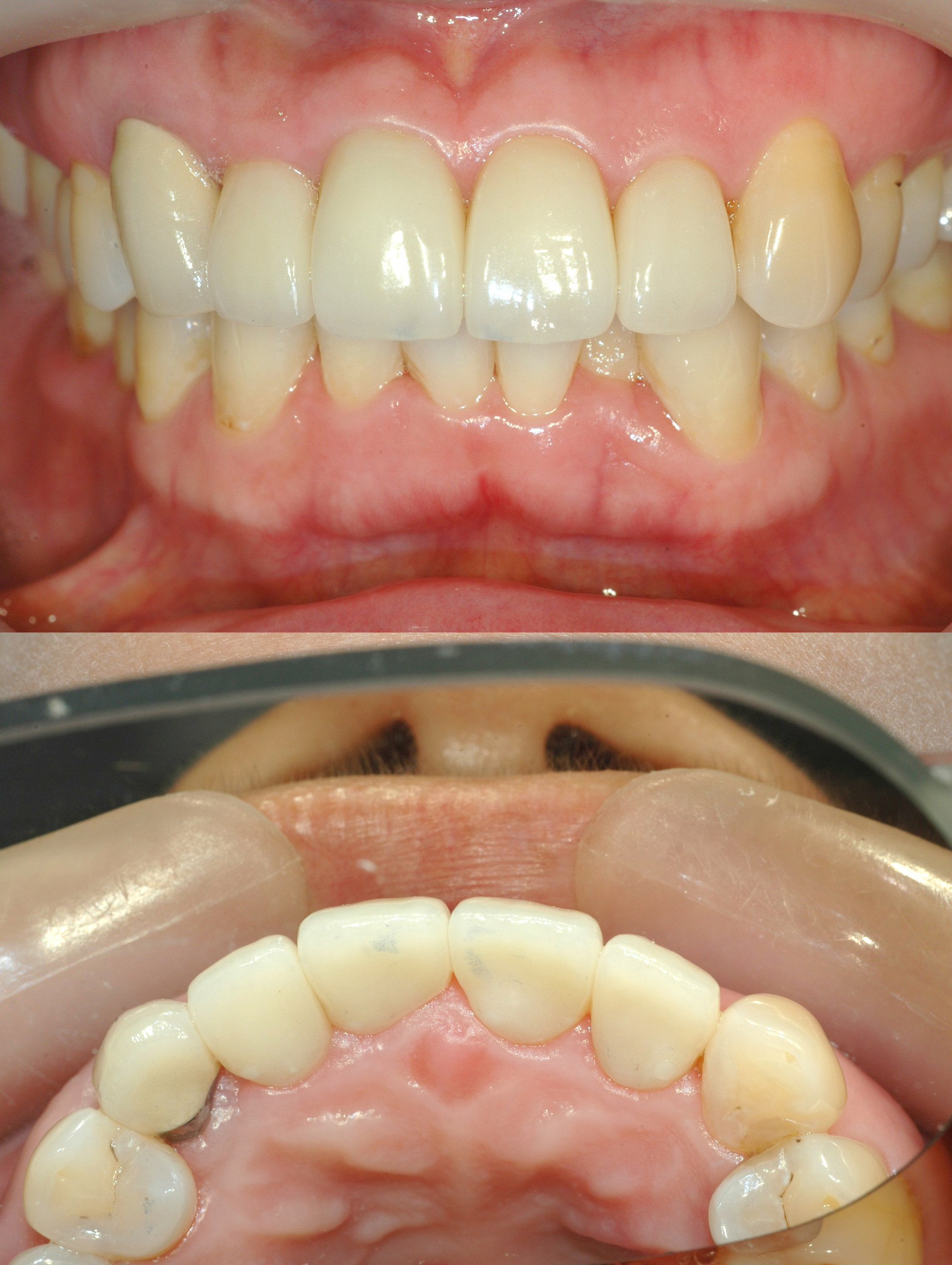
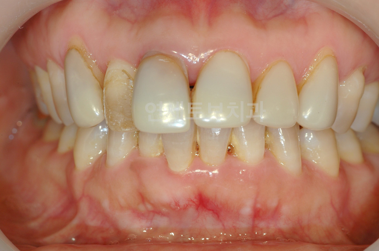
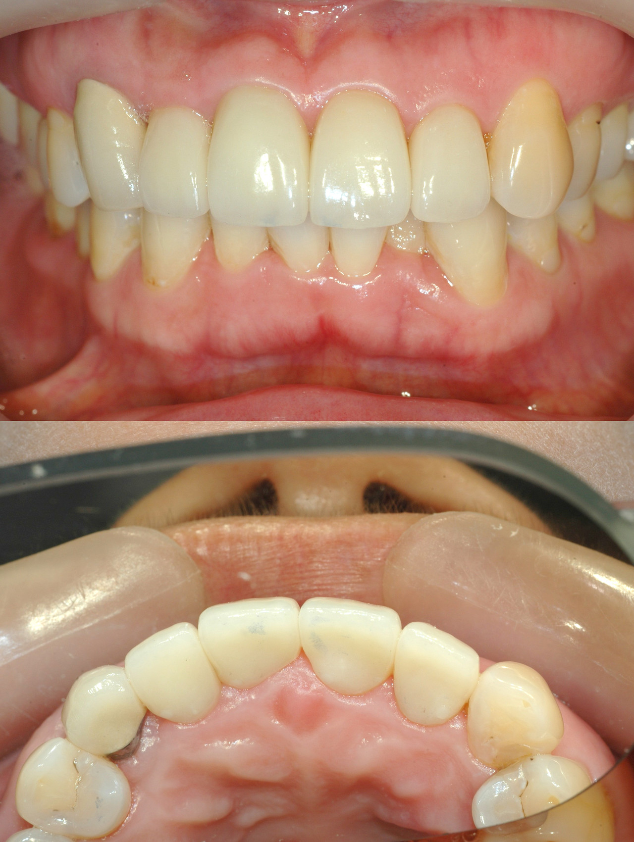
Before & After

> 토브 일반진료 사례

case 01

레진 치료

case 02

인레이 치료

case 03

전악보철

> 토브 협진치료 사례

case 01

교정+보철+치은이식

case 02

교정+임플란트

mobile background
치아의 기능적인 회복에 심미적인 부분까지 고려하는!
심미치료

심미치료는 손상되거나 심미적으로 개선이 필요한 치아를 라미네이트, 올세라믹 크라운 등 다양한 치료 방법을 통해 기능 회복과 자연스러운 아름다움을 함께 되찾아주는 치료입니다.

01

기능 회복과 더불어 심미성 개선


단순히 씹는 기능을 회복하는 것을 넘어,

치아의 색상, 모양, 배열 등을 개선하여

자연스러운 아름다움을 되찾아 줍니다.

02

환자 상태에 따라 달라지는 보철물


환자의 치아 상태, 문제점, 개선 목표에 따라

라미네이트, 올세라믹 크라운, 치아 미백, 잇몸 성형 등

여러 치료 방법을 조합하여 맞춤 치료를 제공합니다.

03

내 얼굴에 맞는 자연스러운 아름다움 


자연 치아와 유사한 색상과 투명도를 가진 재료와

정교한 기술을 사용하여 내 얼굴에 맞는

매우 만족스러운 결과를 얻을 수 있습니다.

Yonsei Tov Dental Clinic

01

치아 삭제를 줄인,

진짜 내 치아같은 라미네이트

라미네이트는 앞니의 치아 사이에 공간이 있거나 배열이 고르지 않은 경우, 또는 치아의 영구 미백에 적합하며, 일반적으로 치아의 앞면을 미세하게 다듬어 도자기 재질의 인공치아를 치아 위에 덧붙임으로써 아름답게 변화시켜주는 방법입니다.

 기존 치아와 높이 차이 없이 정교하게 연결

 얇은 포세린 판으로 투명한 치아 표현

 자연치아와 유사한 모양과 색상 표현

 전체 얼굴 골격과 이미지를 고려한 디자인

라미네이트 이후 삭제된 치아는 원래로 되돌릴 수는 없기 때문에 연세토브치과는 치료 전 치아 모양, 색상, 배열 양상, 잇몸 형태 등을 3차원 디지털 진단 장비로 촬영하여 분석 후 최적의 치료 계획을 세워드립니다.

Before

라미네이트 시술 전

After

라미네이트 시술 후

Yonsei Tov Dental Clinic

02

티 나지 않는 자연스러움,

잇몸 변색 걱정 없는 올세라믹 크라운

올세라믹은 치아의 모든 면을 일정하게 깎아낸 후, 100% 세라믹을 이용해 치아전체를 감싸주는 심미치료입니다.

시술이 간편하고 원하는 치아의 모양, 색상, 형태로 맞춤 제작을 할 수 있으며, 심미성과 함께 내구성이 뛰어나 저작력이 우수합니다.

자연치아와 거의 흡사한 색상과 투명도

인체 무해한 재료로 잇몸 조직과 높은 친화성

 금속 성분이 없어 잇몸 변색 걱정 감소

 전체 얼굴 골격과 이미지를 고려한 디자인

올세라믹은 강도가 높은 세라믹만으로 치아의 투명도를 재현할 수 있어 빛이 투과되어 자연스러우며 잇몸 주변에 검은 그림자가 생기지 않습니다.

라미네이트 치료를 할 수 없거나 신경치료를 한 치아의 경우, 치아의 마모나 파절 정도가 크거나 강한 힘을 필요로 하는 부위에 시술합니다.

Before

올세라믹 크라운 시술 전

After

올세라믹 크라운 시술 후

Yonsei Tov Dental Clinic

초기치료가 중요한
잇몸질환

잇몸질환은 치태와 치석이 주된 원인으로 작용하여 생기는 염증입니다. 이런 증상을 오랫동안 방치하면 잇몸뼈가 녹거나 그로 인해 치아를 감싸는 힘이 줄어 치아가 흔들리기도 합니다. 때문에 방치하지 않고 즉각 치료를 받는 것이 좋습니다.

 > 구강 건강을 지키는, 스케일링


 > 비수술적 치료, 치주소파술


 > 수술적 치료, 잇몸수술


Yonsei Tov Dental Clinic

사랑니발치,
구강 건강을 지키는
예방길입니다.

사랑니발치는

경험 많은 의료진을 만나는 것이 가장 중합니다.

주변 치아나 신경에 영향을 주지 않는 안전한 발치,

연세토브치과에서 경험하실 수 있습니다.

• 사랑니 발치를 미루면 안 되는 이유?

 > 구강 관리가 어려워 충치 또는 잇몸 질환 발생


 > 사랑니는 물론, 다른 치아까지 충치 감염 가능성


 > 위상 상태 저하로 구취 및 염증 발생


 > 사랑니가 제자리를 잡지 못해 치열 틀어짐


mobile background

치아의 기능적인 회복에 심미적인 부분까지 고려하는!

심미치료


심미치료는 손상되거나 심미적으로 개선이 필요한 치아를 라미네이트, 올세라믹 크라운 등

다양한 치료 방법을 통해 기능 회복과 자연스러운 아름다움을 함께 되찾아주는 치료입니다.

01


기능 회복과 더불어

심미성 개선

단순히 씹는 기능을 회복하는 것을 넘어,

치아의 색상, 모양, 배열 등을 개선하여

자연스러운 아름다움을 되찾아 줍니다.

02


환자 상태에 따라

달라지는 보철물

환자의 치아 상태, 문제점, 개선 목표에 따라

라미네이트, 올세라믹 크라운, 치아 미백, 잇몸 성형 등

여러 치료 방법을 조합하여 맞춤 치료를 제공합니다.

03


내 얼굴에 맞는

자연스러운 아름다움 추구

자연 치아와 유사한 색상과 투명도를 가진 재료와

정교한 기술을 사용하여 내 얼굴에 맞는

매우 만족스러운 결과를 얻을 수 있습니다.

Yonsei Tov Dental Clinic

01

치아 삭제를 줄인,

진짜 내 치아같은 라미네이트



라미네이트는 앞니의 치아 사이에 공간이 있거나

배열이 고르지 않은 경우, 또는 치아의 영구 미백에 적합하며, 일반적으로 치아의 앞면을 미세하게 다듬어

도자기 재질의 인공치아를 치아 위에 덧붙임으로써

아름답게 변화시켜주는 방법입니다.



기존 치아와 높이 차이 없이
정교하게 연결
얇은 포세린 판으로
투명한 치아 표현
자연치아와 유사한 모양과
색상 표현
전체적인 얼굴 골격과
이미지를 고려한 디자인

라미네이트 이후 삭제된 치아는 원래로 되돌릴 수는 없기 때문에

연세토브치과는 치료 전 치아 모양, 색상, 배열 양상, 잇몸 형태 등을

3차원 디지털 진단 장비로 촬영하여 분석 후 최적의 치료 계획을 세워드립니다.

Before

라미네이트 시술 전

After

라미네이트 시술 후

Yonsei Tov Dental Clinic

02

티 나지 않는 자연스러움,

잇몸 변색 걱정 없는 올세라믹 크라운



올세라믹은 치아의 모든 면을 일정하게 깎아낸 후,

100% 세라믹을 이용해 치아전체를 감싸주는 심미치료입니다.

시술이 간편하고 원하는 치아의 모양, 색상, 형태로 맞춤 제작을 할 수 있으며, 심미성과 함께 내구성이 뛰어나 저작력이 우수합니다.



자연치아와 거의 흡사한
색상과 투명도
인체에 무해한 재료로
잇몸 조직과의 높은 친화성
금속 성분이 없어
잇몸 변색 걱정 감소
전체적인 얼굴 골격과
이미지를 고려한 디자인

올세라믹은 강도가 높은 세라믹만으로 치아의 투명도를 재현할 수 있어

빛이 투과되어 자연스러우며 잇몸 주변에 검은 그림자가 생기지 않습니다.

라미네이트 치료를 할 수 없거나 신경치료를 한 치아의 경우,

치아의 마모나 파절 정도가 크거나 강한 힘을 필요로 하는 부위에 시술합니다.

Before

올세라믹 크라운 시술 전

After

올세라믹 크라운 시술 후

Yonsei Tov Dental Clinic

초기치료가 중요한
잇몸질환


잇몸질환은 치태와 치석이 주된 원인으로 작용하여 생기는 염증입니다.

이런 증상을 오랫동안 방치하면 잇몸뼈가 녹거나

그로 인해 치아를 감싸는 힘이 줄어 치아가 흔들리기도 합니다.

때문에 방치하지 않고 즉각 치료를 받는 것이 좋습니다.

> 구강 건강을 지키는, 스케일링


> 비수술적 치료, 치주소파술


> 수술적 치료, 잇몸수술


Yonsei Tov Dental Clinic

사랑니발치,

구강 건강을 지키는 예방길입니다.


사랑니발치는 경험 많은 의료진을 만나는 것이 가장 중요합니다.

주변 치아나 신경에 영향을 주지 않는 안전한 발치,

연세토브치과에서 경험하실 수 있습니다.

• 사랑니 발치를 미루면 안 되는 이유?

> 구강 관리가 어려워 충치 또는 잇몸 질환 발생


> 사랑니는 물론, 다른 치아까지 충치 감염 가능성


> 위상 상태 저하로 구취 및 염증 발생


> 사랑니가 제자리를 잡지 못해 치열 틀어짐


Yonsei Tov Info

진료시간 / 오시는 길

Location.

서울 강동구 양재대로 1329 서경빌딩 2층

둔촌동역 3번 출구 직진 250m


Parking.

나이키 매장 옆 주차장 무료주차 가능

🚘  만차일 경우 병원으로 전화 주시면

        주차 가능한 곳을 안내해 드립니다.


Tel.

02. 484. 6078


Time.

월 화 수 금      09:30 - 18:30

목    요   일      플렉서블 휴진 (임시공휴일 있는 주 정상진료)

토    요   일      09:30 - 13:00 (점심시간 없음)

점 심 시 간       13:00 - 14:00

일    요   일          정기 휴진


*목요일/일요일/공휴일은 휴진입니다.

*토요일은 점심시간 없이 진료합니다.

개인정보처리방침 ㅣ 이용약관 ㅣ 비급여안내

연세토브치과의원

대표자 : 황성준 ㅣ 사업자등록번호 : 212-91-50571

문의 : 02-484-6078

주소 : 서울특별시 강동구 양재대로 1329 서경빌딩 2층

메일 : tovdental@naver.com


Copyright 연세토브치과. All Rights Reserved.

Yonsei Tov Info

진료시간 / 오시는 길




Location.

서울 강동구 양재대로 1329 서경빌딩 2층

 둔촌동역 3번 출구 직진 250m


Parking.

나이키 매장 옆 주차장 

무료 주차 가능

🚘  만차일 경우 병원으로 전화 주시면

         주차 가능한 곳을 안내해 드립니다.


Tel.

02. 484. 6078




Time.

월 화 수 금      09:30 - 18:30

목    요   일      플렉서블 휴진 (임시공휴일 있는 주 정상진료)

토    요   일      09:30 - 13:00 (점심시간 없음)

점 심 시 간      13:00 - 14:00

일    요   일          정기 휴진


*목요일/일요일/공휴일은 휴진입니다.

*토요일은 점심시간 없이 진료합니다.


개인정보처리방침  ㅣ  이용약관  ㅣ  비급여안내



연세토브치과의원

대표자 : 황성준  ㅣ  사업자등록번호 : 212-91-50571  ㅣ 문의 : 02-484-6078

주소 : 서울특별시 강동구 양재대로 1329 서경빌딩 2층  ㅣ  메일 : tovdental@naver.com

Copyrightⓒ 연세토브치과 All Rights Reserved.