Yonsei Tov Dental Clinic

치아교정,
왜 필요할까?

많은 분들이 치아교정을
'예뻐지는 치료'라고만 생각하시곤 합니다.
물론 심미적인 개선은 치아교정의 중요한 부분이지만,
그 본질은 단순히 외모를 바꾸는 것을 넘어
치아의 기능과 구강 건강 전반을 회복하는 데 있습니다.

치열이 고르지 않거나 턱뼈와 치아의 위치 관계가 부조화스러운 경우, 음식물을 제대로 씹기 어려워 소화 기능에 부담을 줄 수 있습니다.

또한, 치아 사이에 음식물이 잘 끼고 칫솔질이 어려워 충치나 잇몸 질환이 발생할 가능성이 높아지며, 비정상적인 교합은 턱관절에 무리를 주어 턱관절 장애를 유발하기도 합니다.

Yonsei Tov Dental Clinic

INVISALIGN

투명교정 인비절라인

인비절라인은 눈에 거의 보이지 않는 투명 교정장치를 이용하는 혁신적인 치료로 부드럽지만 효과적인 힘을 가해 치아를 교정할 수 있습니다.


고유의 SmartForce 기술을 통해, 환자마다 맞춤 제작되는 여러 개의 탈착식 교정장치를 이용하여 치아를 원하는 위치로 서서히 계획에 맞게 이동시킵니다.

mobile background

Yonsei Tov Dental Clinic

치아교정


얼굴 전체의 조화와 균형을 고려한 진단과 치료 계획을 통해
건강하고 아름다운 미소를 선사해 드립니다.

Yonsei Tov Dental Clinic

치아교정,

왜 필요할까?


많은 분들이 치아교정을 '예뻐지는 치료'라고만 생각하시곤 합니다.
물론 심미적인 개선은 치아교정의 중요한 부분이지만,
그 본질은 단순히 외모를 바꾸는 것을 넘어
치아의 기능과 구강 건강 전반을 회복하는 데 있습니다.

치열이 고르지 않거나 턱뼈와 치아의 위치 관계가 부조화스러운 경우,

음식물을 제대로 씹기 어려워 소화 기능에 부담을 줄 수 있습니다.

또한, 치아 사이에 음식물이 잘 끼고 칫솔질이 어려워

충치나 잇몸 질환이 발생할 가능성이 높아지며,

비정상적인 교합은 턱관절에 무리를 주어 턱관절 장애를 유발하기도 합니다.

Yonsei Tov Dental Clinic

INVISALIGN


투명교정 인비절라인

인비절라인은 눈에 거의 보이지 않는 투명 교정장치를 이용하는 혁신적인 치료
부드럽지만 효과적인 힘을 가해 치아를 교정할 수 있습니다.
고유의 SmartForce 기술을 통해, 환자마다 맞춤 제작되는 여러 개의 탈착식 교정장치를 이용하여
치아를 원하는 위치로 서서히 계획에 맞게 이동시킵니다.


높은 심미성
구강관리 용이
탈착 가능
적은 통증
mobile background

인비절라인

나만의 맞춤 교정장치


01

정확한 개인 맞춤형으로

최첨단 3D 스캐너를 사용하여 당신 치아의

정확한 3D 이미지를 빠르게 캡쳐합니다.

02

편안함을 위해

오직 인비절라인 만이 스마트트랙 소재로 제작되어

편안한 착용감을 주도록 개발되었습니다.

03

개인 잇몸 곡선에 따라

각 환자의 잇몸 라인에 딱 맞게 맞춤 제작되어

편안하고 우수한 교정 효과를 자랑합니다.

인비절라인
나만의 맞춤 교정장치

01

정확한 개인 맞춤형으로

최첨단 3D 스캐너를 사용하여 당신 치아의

정확한 3D 이미지를 빠르게 캡쳐합니다.

02

편안함을 위해

오직 인비절라인 만이 스마트트랙 소재로 제작되어

편안한 착용감을 주도록 개발되었습니다.

03

개인 잇몸 곡선에 따라

각 환자의 잇몸 라인에 딱 맞게 맞춤 제작되어

편안하고 우수한 교정 효과를 자랑합니다.

WHY YONSEI TOV

DENTAL CLINIC?


01
개인 맞춤형 다양한
교정장치를 구비하고 있습니다.

연세토브치과는 다양한 교정장치와 장비가 준비되어 있어 개인의 치아에 따라 적합한 교정방법을 선택할 수 있습니다. 개인별 치아의 특성을 고려해 1:1 맞춤 교정을 시행합니다.


02
완성도를 높이는 iTero Lumina
스캐너를 활용합니다.

iTero lumina 스캐너를 통해 복잡한 구강 구조의 환자 케이스를 빠르고 간편하게 스캔이 가능하며, 고해상도의 3D 모델링과 구강 카메라를 한 장비로 동시에 제공함으로써, 편안함과 신뢰를 기반으로 한 치료를 제공합니다.


03
개인 상태별 체계적인
치료 계획을 수립합니다.

개인별 맞춤형 체계적인 치료 계획을 통해 수술 전 세심한 상담부터 사후관리까지 지속적인 유지관리를 위한 프로그램을 운영하고 있습니다.


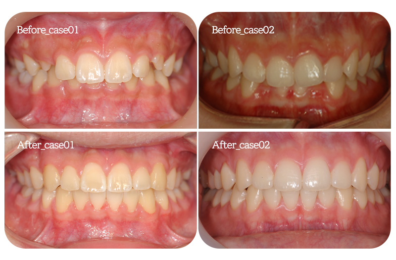
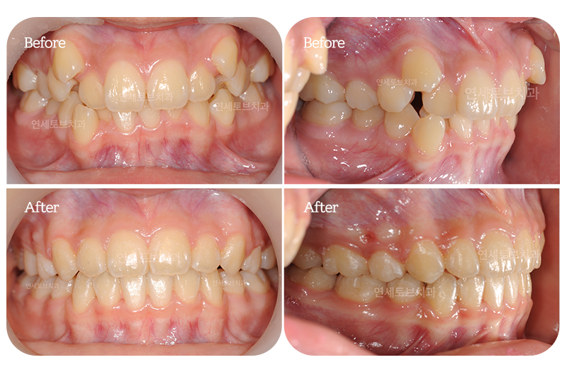
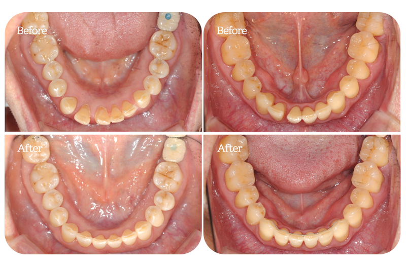
Before & After

토브 치아교정 사례

case 01

덧니교정

case 02

과개교합교정

case 03

돌출입교정

case 04

무턱교정

case 05

잇몸돌출교정

case 06

중장년 앞니부분교정


연세토브치과에서는

성공적인 교정 치료 완료 후에도 환자분께서 평생

건강하고 아름다운 미소를 유지하실 수 있도록

유지 관리의 중요성을 강조하고,

체계적인 사후 관리 시스템을 제공합니다.

교정 후 관리까지

연세토브치과와 함께하세요!

YONSEI TOV

DENTAL CLINIC

WHY YONSEI TOV
DENTAL CLINIC?

01
개인 맞춤형 다양한
교정장치를 구비하고 있습니다.

연세토브치과는 다양한 교정장치와 장비가 준비되어 있어

개인의 치아에 따라 적합한 교정방법을 선택할 수 있습니다.

개인별 치아의 특성을 고려해 1:1 맞춤 교정을 시행합니다.

02
완성도를 높이는
iTero lumina 스캐너를 활용합니다.


iTero lumina 스캐너를 통해 복잡한 구강 구조의 환자 케이스를

빠르고 간편하게 스캔이 가능하며,

고해상도의 3D 모델링과 구강 카메라를 한 장비로 동시에 제공함으로써,

편안함과 신뢰를 기반으로 한 치료를 제공합니다.

03
개인 상태별 체계적인
치료 계획을 수립합니다.


개인별 맞춤형 체계적인 치료 계획을 통해

수술 전 세심한 상담부터 사후관리까지

지속적인 유지관리를 위한 프로그램을 운영하고 있습니다.




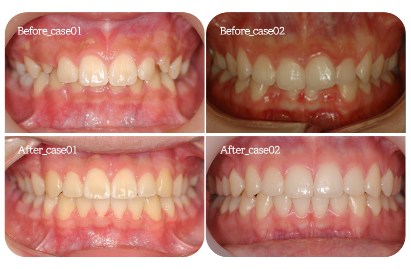
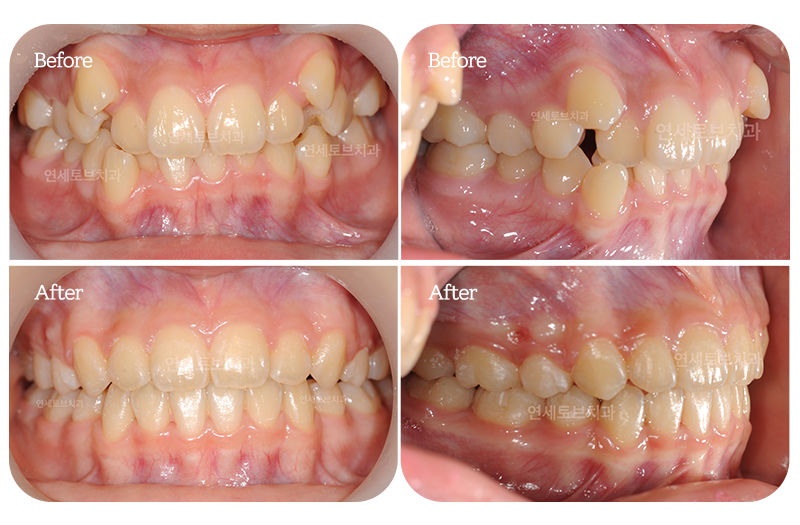
Before & After

토브 치아교정 사례

case 01

덧니교정

case 02

과개교합교정


case 03
case 04

돌출입교정

무턱교정


case 05

잇몸돌출교정

case 06

중장년 앞니부분교정


연세토브치과에서는 성공적인 교정 치료 완료 후에도 환자분께서 평생 건강하고 아름다운 미소를 유지하실 수 있도록

유지 관리의 중요성을 강조하고, 체계적인 사후 관리 시스템을 제공합니다.


교정 후 관리까지 연세토브치과와 함께하세요!

Yonsei Tov Info

진료시간 / 오시는 길

Location.

서울 강동구 양재대로 1329 서경빌딩 2층

둔촌동역 3번 출구 직진 250m


Parking.

나이키 매장 옆 주차장 무료주차 가능

🚘  만차일 경우 병원으로 전화 주시면

        주차 가능한 곳을 안내해 드립니다.


Tel.

02. 484. 6078


Time.

월 화 수 금      09:30 - 18:30

목    요   일      플렉서블 휴진 (임시공휴일 있는 주 정상진료)

토    요   일      09:30 - 13:00 (점심시간 없음)

점 심 시 간       13:00 - 14:00

일    요   일          정기 휴진


*목요일/일요일/공휴일은 휴진입니다.

*토요일은 점심시간 없이 진료합니다.

개인정보처리방침 ㅣ 이용약관 ㅣ 비급여안내

연세토브치과의원

대표자 : 황성준 ㅣ 사업자등록번호 : 212-91-50571

문의 : 02-484-6078

주소 : 서울특별시 강동구 양재대로 1329 서경빌딩 2층

메일 : tovdental@naver.com


Copyright 연세토브치과. All Rights Reserved.

Yonsei Tov Info

진료시간 / 오시는 길




Location.

서울 강동구 양재대로 1329 서경빌딩 2층

 둔촌동역 3번 출구 직진 250m


Parking.

나이키 매장 옆 주차장 

무료 주차 가능

🚘  만차일 경우 병원으로 전화 주시면

         주차 가능한 곳을 안내해 드립니다.


Tel.

02. 484. 6078




Time.

월 화 수 금      09:30 - 18:30

목    요   일      플렉서블 휴진 (임시공휴일 있는 주 정상진료)

토    요   일      09:30 - 13:00 (점심시간 없음)

점 심 시 간      13:00 - 14:00

일    요   일          정기 휴진


*목요일/일요일/공휴일은 휴진입니다.

*토요일은 점심시간 없이 진료합니다.


개인정보처리방침  ㅣ  이용약관  ㅣ  비급여안내



연세토브치과의원

대표자 : 황성준  ㅣ  사업자등록번호 : 212-91-50571  ㅣ 문의 : 02-484-6078

주소 : 서울특별시 강동구 양재대로 1329 서경빌딩 2층  ㅣ  메일 : tovdental@naver.com

Copyrightⓒ 연세토브치과 All Rights Reserved.