Yonsei Tov Dental Clinic

Yonsei Tov Dental Clinic

연세토브치과 
임플란트의 특별함

연세토브치과에서 임플란트를 해야 하는 이유!

Yonsei Tov Dental Clinic

치주과 전문의
&
연세대학교 치과대학
임상지도교수
mobile background

Yonsei Tov Dental Clinic

임플란트


임플란트를 통해 잃어버린 치아 기능을 회복하고
삶의 만족도를 높여드립니다.
mobile background
연세토브는 다릅니다!

연세토브치과에서는
환자분들의 소중한 치아를 상실했을 때,
단순히 빈 공간을 채우는 것을 넘어,

건강한 미소와 편안한 식사, 그리고
자신감 있는 일상을 되찾아 드릴 수 있도록
최선을 다하고 있습니다.

Yonsei Tov Dental Clinic

WHY YONSEI TOV

DENTAL CLINIC?


01
저희는 덴티움, 오스템, 스트라우만
임플란트를 사용하여 시술합니다.

환자 개개인의 구강 상태와 필요에 맞춰 최적의 결과를 제공하기 위해 덴티움, 오스템, 스트라우만 임플란트를 선택하여 사용합니다.

국내외 다수의 임상 증례를 통해 그 효과와 안전성이 입증된 임플란트를 사용하여 환자분들께 더욱 안정적이고 만족스러운 예후를 선사합니다.


02
최신 디지털 장비를 갖춘
디지털 치과입니다.

디지털 분석을 통해 더욱 정확하고 편리한 치과치료가 가능하며, 오차가 거의 없는 개인 맞춤 치료계획을 수립합니다.

CT로 촬영한 3차원 데이터를 바탕으로 뼈, 잇몸, 신경을 통합적으로 고려한 정밀진단 후 모의 수술을 통해 최적의 임플란트 위치를 설정합니다.


03
모든 의료진,
15년 이상의 풍부한 임상 경험

연세토브치과의 2인 원장 모두 15년 이상의 경력을 통해 수많은 케이스를 마무리한 풍부한 치료 경험을 가지고 있으며, 임플란트와 심미치료 등 고난이도 진료 외에도 소아진료, 잇몸치료, 사랑니 발치 등의 경험이 많습니다.


Before & After

토브 임플란트 사례

case 01

case 02

전악 임플란트

상악동 골이식술

case 03

수직골 재생술

case 04

임플란트 재치료

case 05

전악 임플란트

case 06

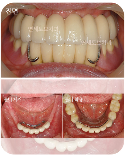
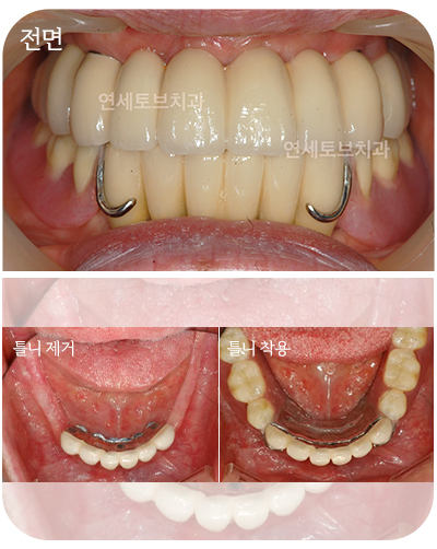
임플란트 틀니

Yonsei Tov Dental Clinic

연세토브치과 임플란트의 특별함

연세토브치과에서 임플란트를 해야 하는 이유!

Yonsei Tov Dental Clinic

치주과 전문의
&
연세대학교 치과대학 임상지도교수

mobile background

연세토브는 다릅니다!


연세토브치과에서는 환자분들의 소중한 치아를 상실했을 때, 단순히 빈 공간을 채우는 것을 넘어,

건강한 미소와 편안한 식사, 그리고 자신감 있는 일상을 되찾아 드릴 수 있도록 최선을 다하고 있습니다.

WHY YONSEI TOV
DENTAL CLINIC?

01
저희는 덴티움, 오스템, 스트라우만
임플란트를 사용하여 시술합니다.

환자 개개인의 구강 상태와 필요에 맞춰 최적의 결과를 제공하기 위해

덴티움, 오스템, 스트라우만 임플란트를 선택하여 사용합니다.

국내외 다수의 임상 증례를 통해 그 효과와 안전성이 입증된 임플란트를 사용하여

환자분들께 더욱 안정적이고 만족스러운 예후를 선사합니다. 

02
최신 디지털 장비를 갖춘
디지털 치과입니다.

디지털 분석을 통해 더욱 정확하고 편리한 치과치료가 가능하며,

오차가 거의 없는 개인 맞춤 치료계획을 수립합니다.

CT로 촬영한 3차원 데이터를 바탕으로 뼈, 잇몸, 신경을 통합적으로 고려한

정밀진단 후 모의 수술을 통해 최적의 임플란트 위치를 설정합니다.

03
모든 의료진,
15년 이상의 풍부한 임상 경험

연세토브치과의 2인 원장 모두 15년 이상의 경력을 통해

수많은 케이스를 마무리한 풍부한 치료 경험을 가지고 있으며,
임플란트와 심미치료 등 고난이도 진료 외에도
소아진료, 잇몸치료, 사랑니 발치 등의 경험이 많습니다.


Before & After

토브 임플란트 사례

case 01
case 02
case 03

전악 임플란트

상악동 골이식술

수직골 재생술


case 04

임플란트 재치료

case 05
case 06

전악 임플란트

임플란트 틀니

Yonsei Tov Info

진료시간 / 오시는 길

Location.

서울 강동구 양재대로 1329 서경빌딩 2층

둔촌동역 3번 출구 직진 250m


Parking.

나이키 매장 옆 주차장 무료주차 가능

🚘  만차일 경우 병원으로 전화 주시면

        주차 가능한 곳을 안내해 드립니다.


Tel.

02. 484. 6078


Time.

월 화 수 금      09:30 - 18:30

목    요   일      플렉서블 휴진 (임시공휴일 있는 주 정상진료)

토    요   일      09:30 - 13:00 (점심시간 없음)

점 심 시 간       13:00 - 14:00

일    요   일          정기 휴진


*목요일/일요일/공휴일은 휴진입니다.

*토요일은 점심시간 없이 진료합니다.

개인정보처리방침 ㅣ 이용약관 ㅣ 비급여안내

연세토브치과의원

대표자 : 황성준 ㅣ 사업자등록번호 : 212-91-50571

문의 : 02-484-6078

주소 : 서울특별시 강동구 양재대로 1329 서경빌딩 2층

메일 : tovdental@naver.com


Copyright 연세토브치과. All Rights Reserved.

Yonsei Tov Info

진료시간 / 오시는 길




Location.

서울 강동구 양재대로 1329 서경빌딩 2층

 둔촌동역 3번 출구 직진 250m


Parking.

나이키 매장 옆 주차장 

무료 주차 가능

🚘  만차일 경우 병원으로 전화 주시면

         주차 가능한 곳을 안내해 드립니다.


Tel.

02. 484. 6078




Time.

월 화 수 금      09:30 - 18:30

목    요   일      플렉서블 휴진 (임시공휴일 있는 주 정상진료)

토    요   일      09:30 - 13:00 (점심시간 없음)

점 심 시 간      13:00 - 14:00

일    요   일          정기 휴진


*목요일/일요일/공휴일은 휴진입니다.

*토요일은 점심시간 없이 진료합니다.


개인정보처리방침  ㅣ  이용약관  ㅣ  비급여안내



연세토브치과의원

대표자 : 황성준  ㅣ  사업자등록번호 : 212-91-50571  ㅣ 문의 : 02-484-6078

주소 : 서울특별시 강동구 양재대로 1329 서경빌딩 2층  ㅣ  메일 : tovdental@naver.com

Copyrightⓒ 연세토브치과 All Rights Reserved.