Home  >  진료 안내  >  치아 교정 > 중장년 앞니 부분교정

중장년 앞니 부분 교정

중장년 앞니부분 교정이란?


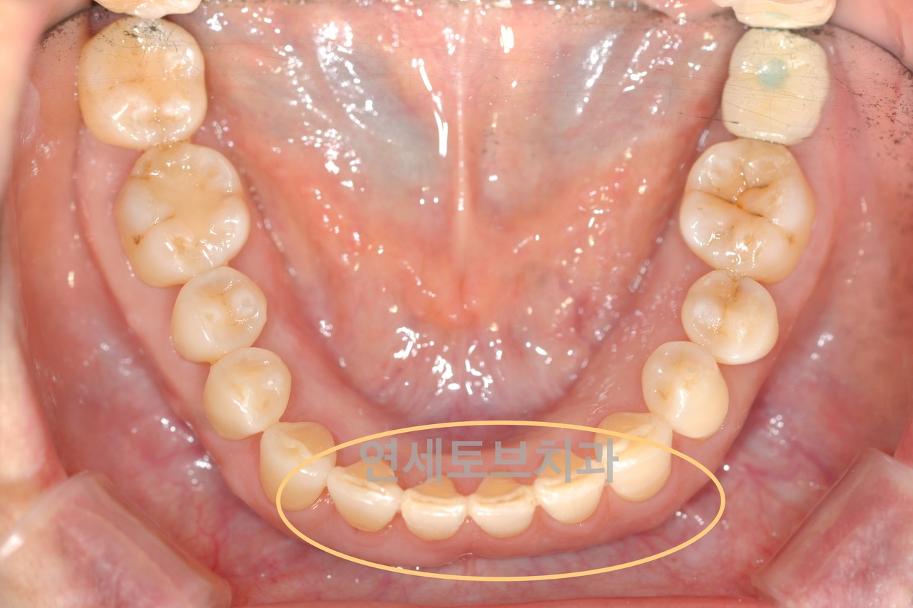
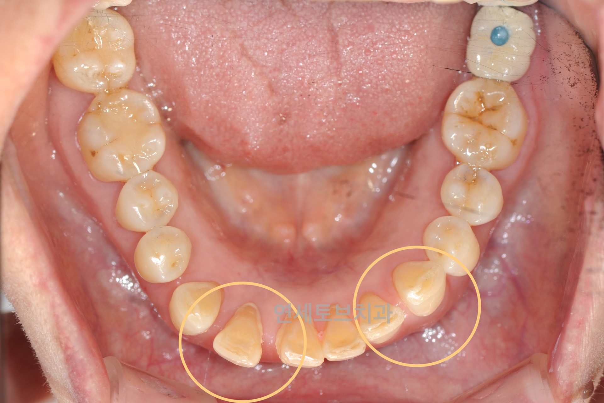
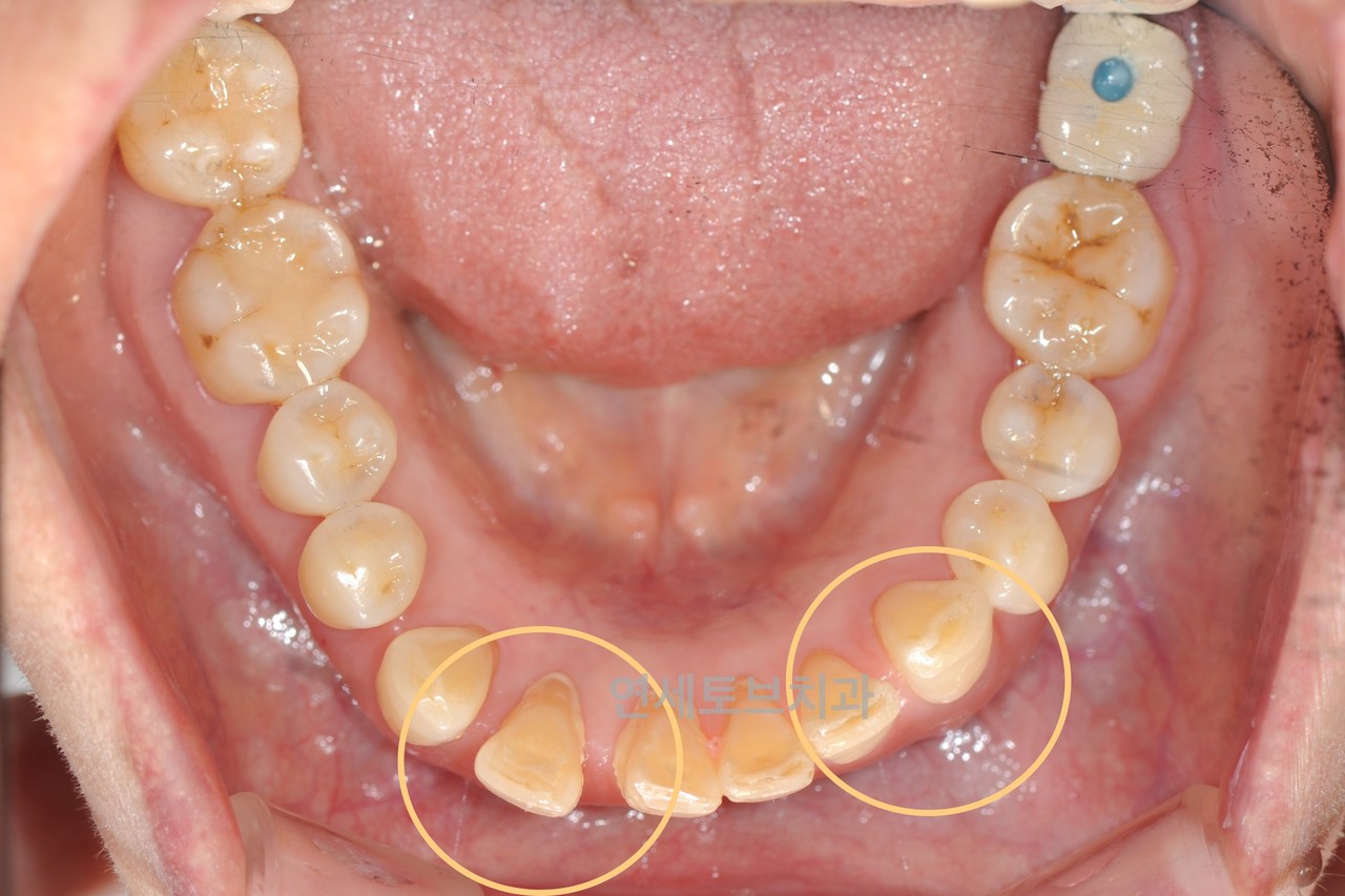
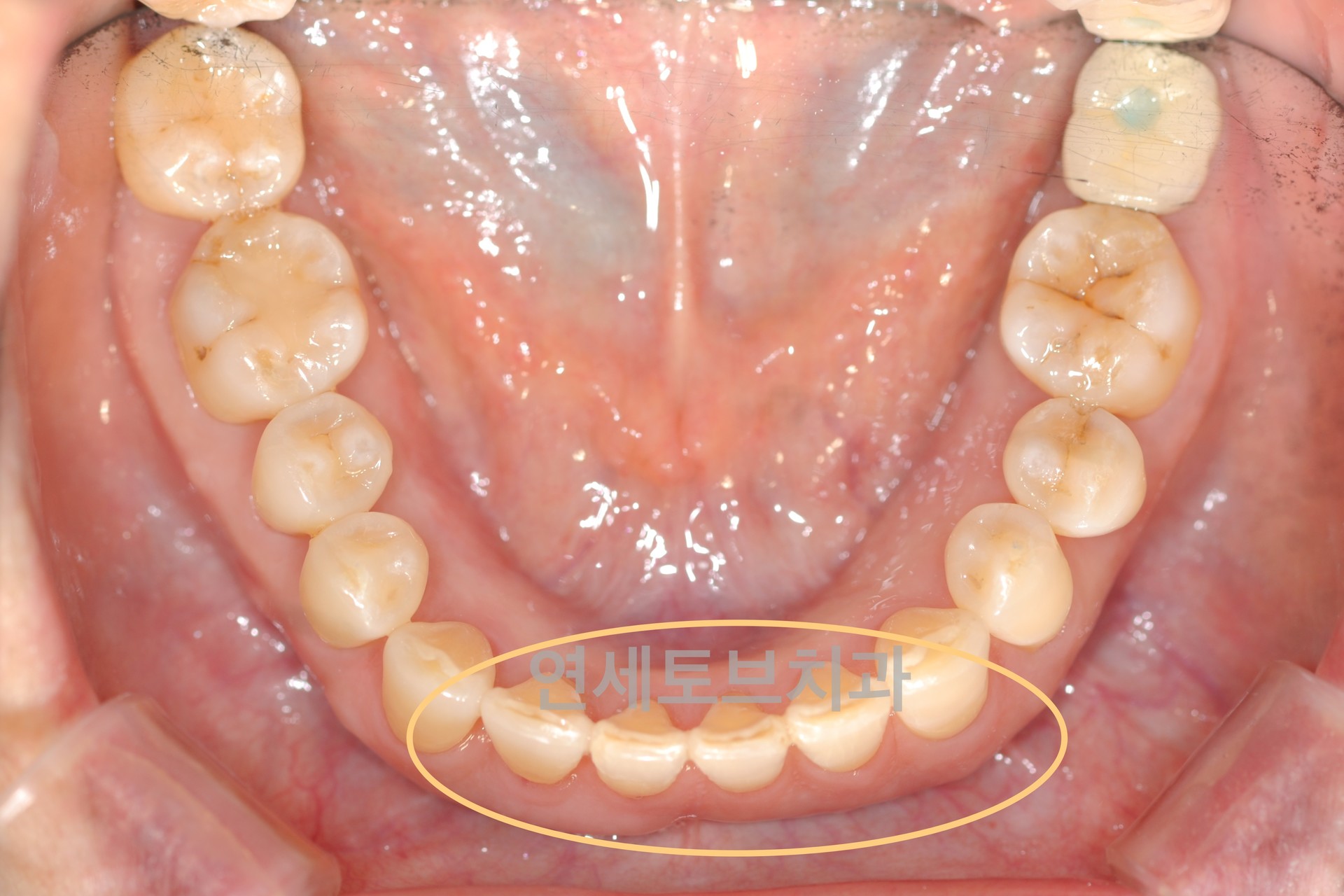
중장년층(40대 이상)에서 앞니 부분 교정은 주로 나이가 들면서 앞니 배열이 흐트러지거나 치아 사이에 공간이 생기는 문제를 해결하는 치료입니다. 

젊었을 때는 가지런했던 앞니가 나이가 들수록 점점 삐뚤어지거나, 잇몸 질환 등으로 인해 치아가 이동하는 현상이 흔하게 나타납니다.

Before

After

중장년 앞니부분교정

중장년 앞니부분 교정이란?


중장년층(40대 이상)에서 앞니 부분 교정은 주로 나이가 들면서 앞니 배열이 흐트러지거나 치아 사이에 공간이 생기는 문제를 해결하는 치료입니다. 젊었을 때는 가지런했던 앞니가 나이가 들수록 점점 삐뚤어지거나, 잇몸 질환 등으로 인해 치아가 이동하는 현상이 흔하게 나타납니다

Before

After

Yonsei Tov Info

진료시간 / 오시는 길

Location.

서울 강동구 양재대로 1329 서경빌딩 2층

둔촌동역 3번 출구 직진 250m


Parking.

나이키 매장 옆 주차장 무료주차 가능

🚘  만차일 경우 병원으로 전화 주시면

        주차 가능한 곳을 안내해 드립니다.


Tel.

02. 484. 6078


Time.

월 화 수 금      09:30 - 18:30

목    요   일      플렉서블 휴진 (임시공휴일 있는 주 정상진료)

토    요   일      09:30 - 13:00 (점심시간 없음)

점 심 시 간       13:00 - 14:00

일    요   일          정기 휴진


*목요일/일요일/공휴일은 휴진입니다.

*토요일은 점심시간 없이 진료합니다.

개인정보처리방침 ㅣ 이용약관 ㅣ 비급여안내

연세토브치과의원

대표자 : 황성준 ㅣ 사업자등록번호 : 212-91-50571

문의 : 02-484-6078

주소 : 서울특별시 강동구 양재대로 1329 서경빌딩 2층

메일 : tovdental@naver.com


Copyright 연세토브치과. All Rights Reserved.

Yonsei Tov Info

진료시간 / 오시는 길




Location.

서울 강동구 양재대로 1329 서경빌딩 2층

 둔촌동역 3번 출구 직진 250m


Parking.

나이키 매장 옆 주차장 

무료 주차 가능

🚘  만차일 경우 병원으로 전화 주시면

         주차 가능한 곳을 안내해 드립니다.


Tel.

02. 484. 6078




Time.

월 화 수 금      09:30 - 18:30

목    요   일      플렉서블 휴진 (임시공휴일 있는 주 정상진료)

토    요   일      09:30 - 13:00 (점심시간 없음)

점 심 시 간      13:00 - 14:00

일    요   일          정기 휴진


*목요일/일요일/공휴일은 휴진입니다.

*토요일은 점심시간 없이 진료합니다.


개인정보처리방침  ㅣ  이용약관  ㅣ  비급여안내



연세토브치과의원

대표자 : 황성준  ㅣ  사업자등록번호 : 212-91-50571  ㅣ 문의 : 02-484-6078

주소 : 서울특별시 강동구 양재대로 1329 서경빌딩 2층  ㅣ  메일 : tovdental@naver.com

Copyrightⓒ 연세토브치과 All Rights Reserved.