보철전교정

보철전 교정이란?


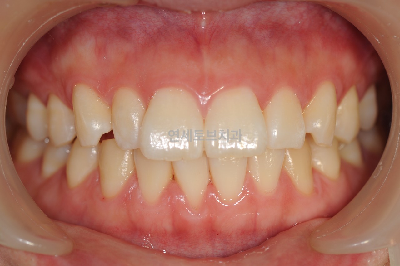
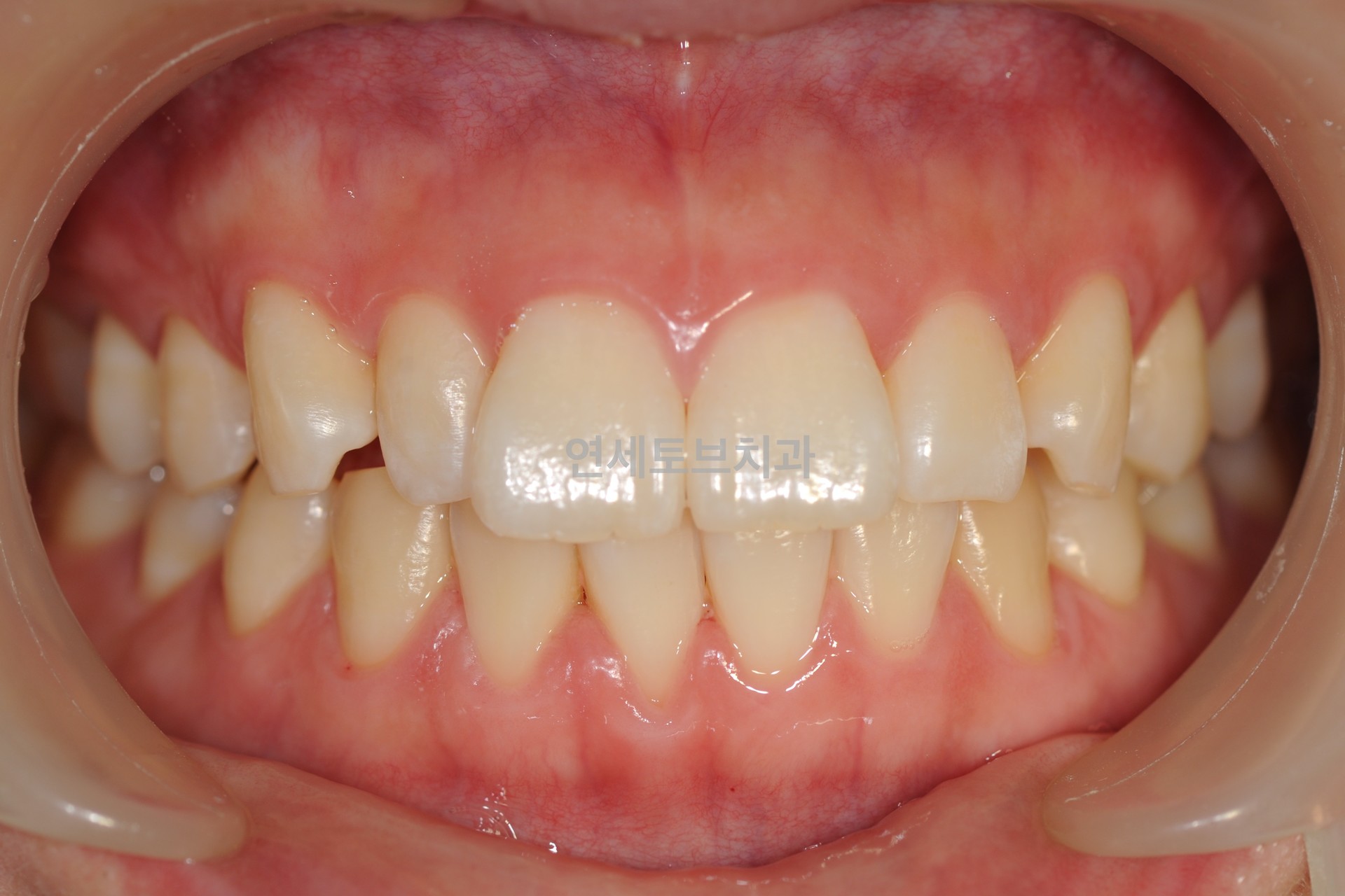
보철전 교정은 임플란트, 크라운, 브릿지 등 보철치료를 진행하기 전에 치아의 배열이나 공간을 교정치료로 먼저 바로잡아, 보철물이 제대로 들어갈 수 있도록 준비하는 치료 과정입니다. 치아 상실, 충치, 치주질환 등으로 인해 치아가 빠지거나 주변 치아가 기울어진 경우, 보철치료를 위한 적절한 공간이나 배열이 부족해질 수 있는데, 이때 보철전 교정을 통해 문제를 해결합니다

Before

After

Yonsei Tov Info

진료시간 / 오시는 길

Location.

서울 강동구 양재대로 1329 서경빌딩 2층

둔촌동역 3번 출구 직진 250m


Parking.

나이키 매장 옆 주차장 무료주차 가능

🚘  만차일 경우 병원으로 전화 주시면

        주차 가능한 곳을 안내해 드립니다.


Tel.

02. 484. 6078


Time.

월 화 수 금      09:30 - 18:30

목    요   일      플렉서블 휴진 (임시공휴일 있는 주 정상진료)

토    요   일      09:30 - 13:00 (점심시간 없음)

점 심 시 간       13:00 - 14:00

일    요   일          정기 휴진


*목요일/일요일/공휴일은 휴진입니다.

*토요일은 점심시간 없이 진료합니다.

개인정보처리방침 ㅣ 이용약관 ㅣ 비급여안내

연세토브치과의원

대표자 : 황성준 ㅣ 사업자등록번호 : 212-91-50571

문의 : 02-484-6078

주소 : 서울특별시 강동구 양재대로 1329 서경빌딩 2층

메일 : tovdental@naver.com


Copyright 연세토브치과. All Rights Reserved.

Yonsei Tov Info

진료시간 / 오시는 길




Location.

서울 강동구 양재대로 1329 서경빌딩 2층

 둔촌동역 3번 출구 직진 250m


Parking.

나이키 매장 옆 주차장 

무료 주차 가능

🚘  만차일 경우 병원으로 전화 주시면

         주차 가능한 곳을 안내해 드립니다.


Tel.

02. 484. 6078




Time.

월 화 수 금      09:30 - 18:30

목    요   일      플렉서블 휴진 (임시공휴일 있는 주 정상진료)

토    요   일      09:30 - 13:00 (점심시간 없음)

점 심 시 간      13:00 - 14:00

일    요   일          정기 휴진


*목요일/일요일/공휴일은 휴진입니다.

*토요일은 점심시간 없이 진료합니다.


개인정보처리방침  ㅣ  이용약관  ㅣ  비급여안내



연세토브치과의원

대표자 : 황성준  ㅣ  사업자등록번호 : 212-91-50571  ㅣ 문의 : 02-484-6078

주소 : 서울특별시 강동구 양재대로 1329 서경빌딩 2층  ㅣ  메일 : tovdental@naver.com

Copyrightⓒ 연세토브치과 All Rights Reserved.