Home  >  진료 안내  >  치아 교정 > 덧니교정

덧니교정

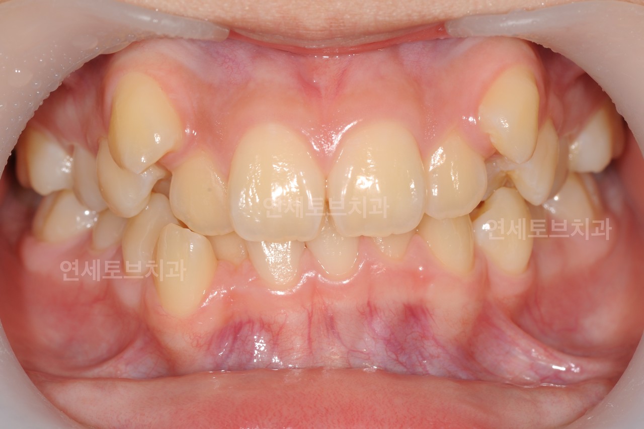
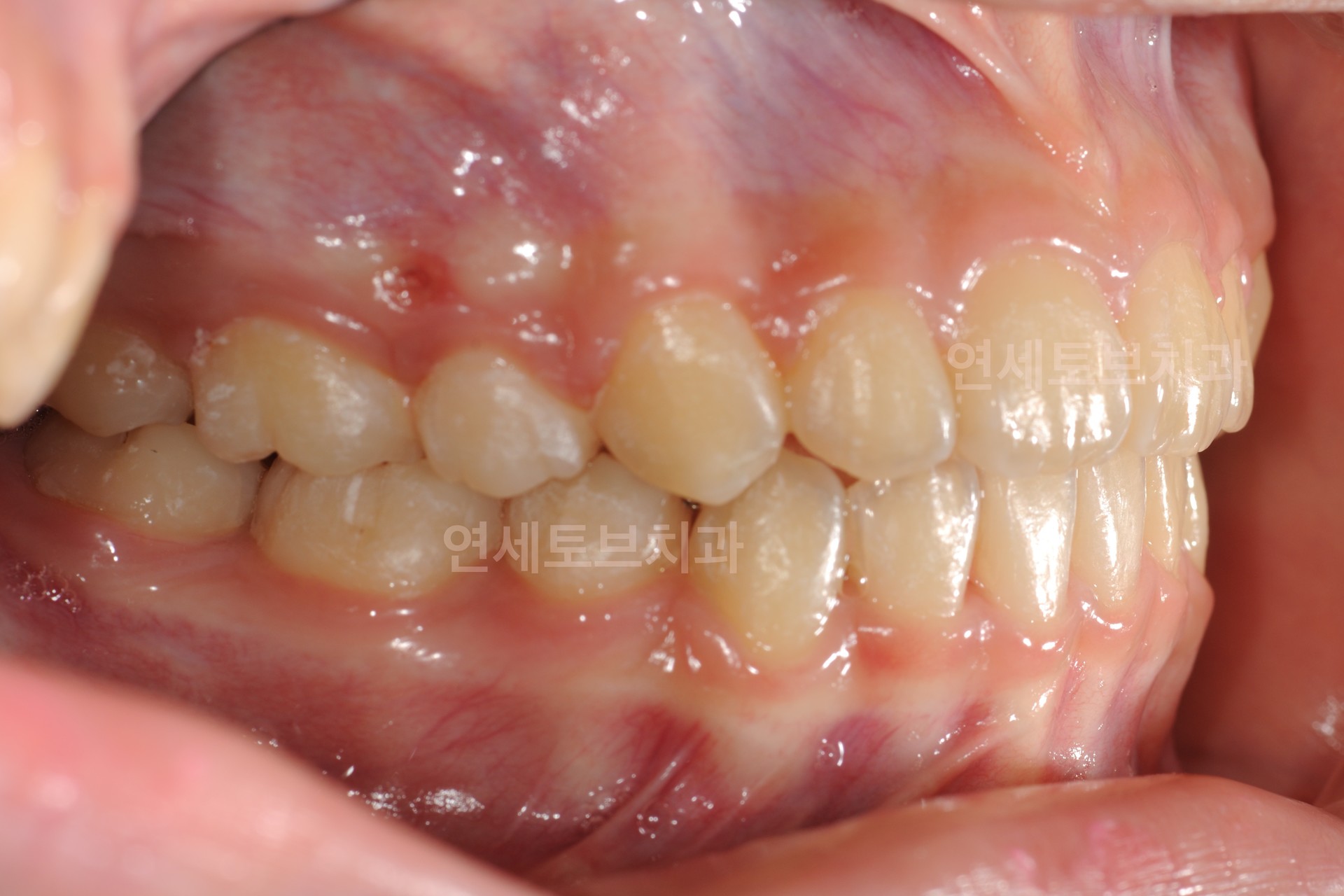
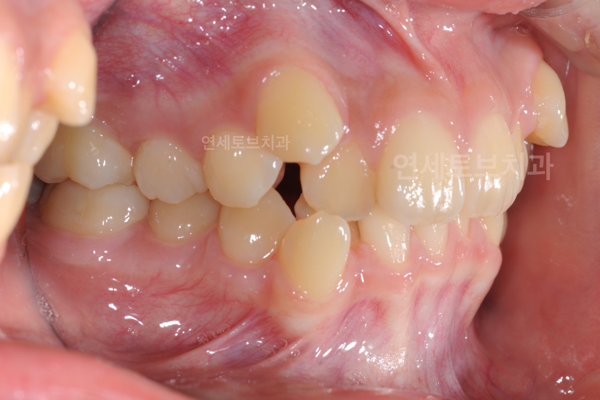
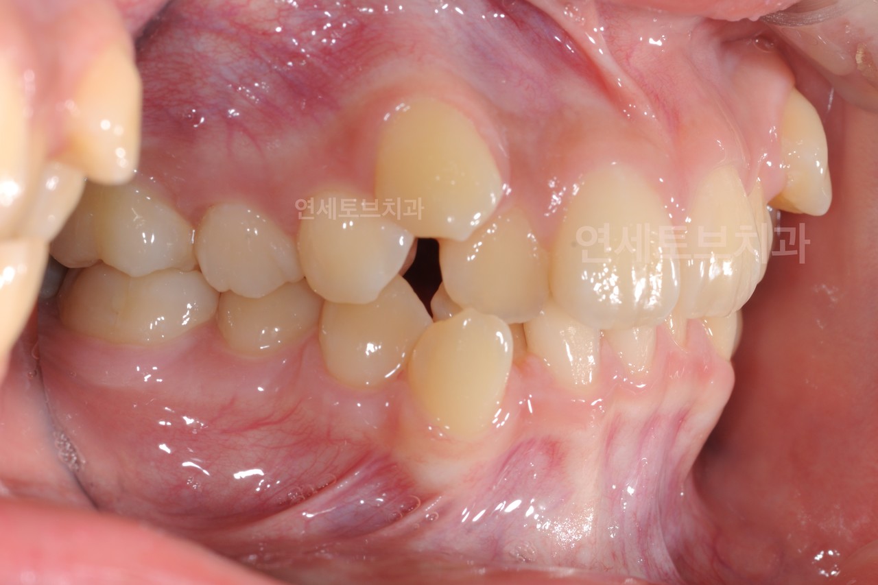
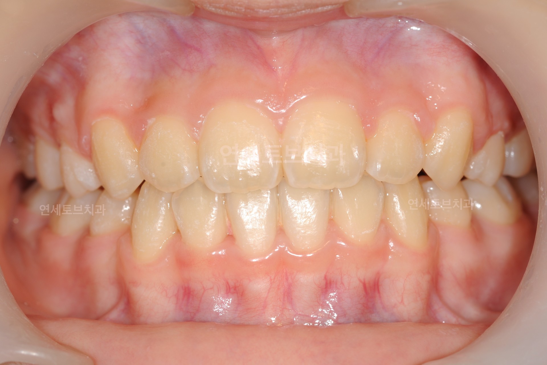
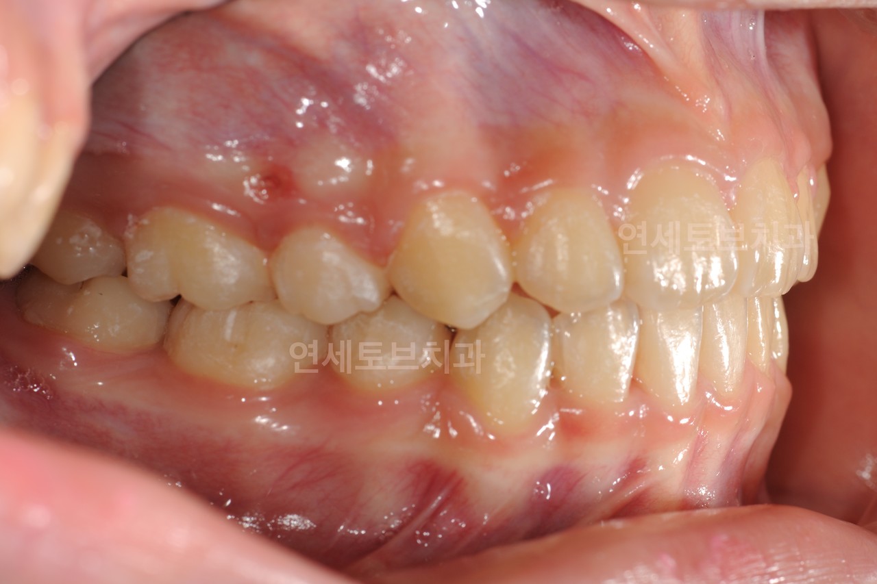
덧니 교정 이란?


덧니(부정교합)는 치아가 올바른 위치에 배열되지 않아 겹치거나 비뚤어진 상태를 말합니다. 이러한 상태는 단순히 미관상의 문제를 넘어 구강 건강에도 영향을 미칠 수 있습니다.


구강 건강 증진


치아가 제대로 정렬되면 칫솔질과 치실 사용이 더 효과적해져 잇몸 질환과 충치 위험이 감소합니다

중년 이후 증가하는 치주질환 예방에 도움이 됩니다


저작 기능 개선


올바른 교합은 음식을 더 효율적으로 씹을 수 있게 해 소화 건강에 도움을 줍니다

턱관절 통증 완화에도 기여합니다


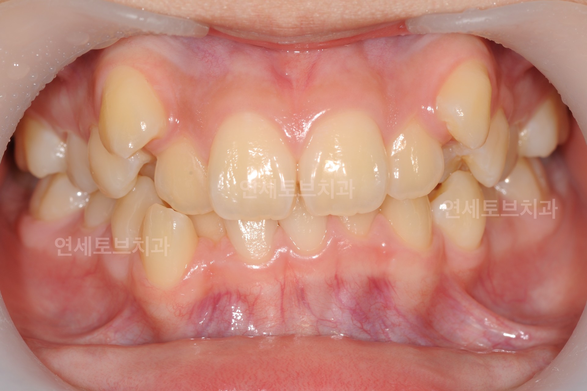
심미적 효과

나이가 들어도 자신감 있는 미소를 유지할 수 있습니다

젊고 활력 있는 인상을 줍니다

Before

After

덧니교정

덧니 교정 이란?


덧니(부정교합)는 치아가 올바른 위치에 배열되지 않아 겹치거나 비뚤어진 상태를 말합니다. 이러한 상태는 단순히 미관상의 문제를 넘어 구강 건강에도 영향을 미칠 수 있습니다.


구강 건강 증진


치아가 제대로 정렬되면 칫솔질과 치실 사용이 더 효과적해져 잇몸 질환과 충치 위험이 감소합니다

중년 이후 증가하는 치주질환 예방에 도움이 됩니다


저작 기능 개선


올바른 교합은 음식을 더 효율적으로 씹을 수 있게 해 소화 건강에 도움을 줍니다

턱관절 통증 완화에도 기여합니다


심미적 효과

나이가 들어도 자신감 있는 미소를 유지할 수 있습니다

젊고 활력 있는 인상을 줍니다


Before

After

Yonsei Tov Info

진료시간 / 오시는 길

Location.

서울 강동구 양재대로 1329 서경빌딩 2층

둔촌동역 3번 출구 직진 250m


Parking.

나이키 매장 옆 주차장 무료주차 가능

🚘  만차일 경우 병원으로 전화 주시면

        주차 가능한 곳을 안내해 드립니다.


Tel.

02. 484. 6078


Time.

월 화 수 금      09:30 - 18:30

목    요   일      플렉서블 휴진 (임시공휴일 있는 주 정상진료)

토    요   일      09:30 - 13:00 (점심시간 없음)

점 심 시 간       13:00 - 14:00

일    요   일          정기 휴진


*목요일/일요일/공휴일은 휴진입니다.

*토요일은 점심시간 없이 진료합니다.

개인정보처리방침 ㅣ 이용약관 ㅣ 비급여안내

연세토브치과의원

대표자 : 황성준 ㅣ 사업자등록번호 : 212-91-50571

문의 : 02-484-6078

주소 : 서울특별시 강동구 양재대로 1329 서경빌딩 2층

메일 : tovdental@naver.com


Copyright 연세토브치과. All Rights Reserved.

Yonsei Tov Info

진료시간 / 오시는 길




Location.

서울 강동구 양재대로 1329 서경빌딩 2층

 둔촌동역 3번 출구 직진 250m


Parking.

나이키 매장 옆 주차장 

무료 주차 가능

🚘  만차일 경우 병원으로 전화 주시면

         주차 가능한 곳을 안내해 드립니다.


Tel.

02. 484. 6078




Time.

월 화 수 금      09:30 - 18:30

목    요   일      플렉서블 휴진 (임시공휴일 있는 주 정상진료)

토    요   일      09:30 - 13:00 (점심시간 없음)

점 심 시 간      13:00 - 14:00

일    요   일          정기 휴진


*목요일/일요일/공휴일은 휴진입니다.

*토요일은 점심시간 없이 진료합니다.


개인정보처리방침  ㅣ  이용약관  ㅣ  비급여안내



연세토브치과의원

대표자 : 황성준  ㅣ  사업자등록번호 : 212-91-50571  ㅣ 문의 : 02-484-6078

주소 : 서울특별시 강동구 양재대로 1329 서경빌딩 2층  ㅣ  메일 : tovdental@naver.com

Copyrightⓒ 연세토브치과 All Rights Reserved.