Home  >  진료 안내  >  임플란트 > 상악골 재생술

상악골 재생술

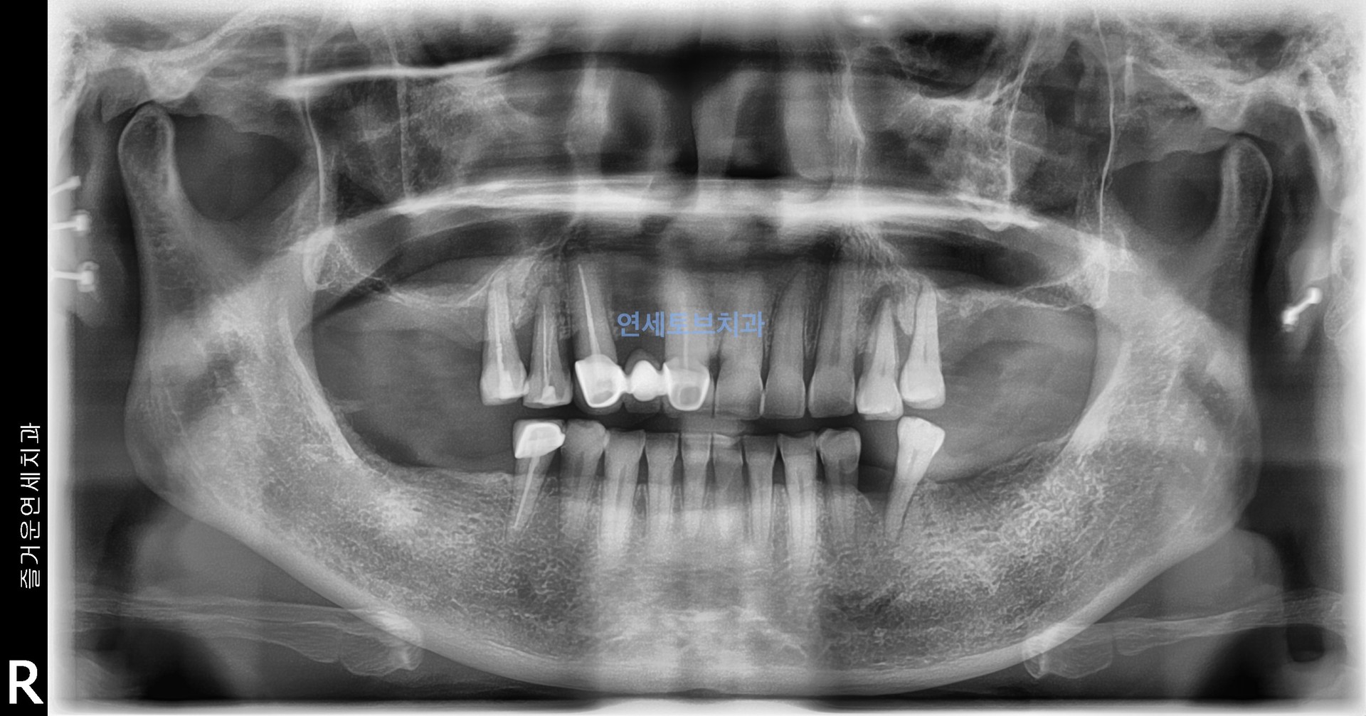
상악동 골이식술 이란?


상악동 골이식술은 위턱 어금니(상악 구치부) 부위에 임플란트를 식립할 때, 

치조골(잇몸뼈)이 부족한 경우 상악동(코 옆의 빈 공간) 점막을 들어올리고 

그 공간에 뼈 이식재를 넣어 임플란트가 안정적으로 자리잡을 수 있도록 뼈를 보강하는 수술입니다

상악동 골이식술 이란?


상악동 골이식술은 위턱 어금니(상악 구치부) 부위에 임플란트를 식립할 때, 치조골(잇몸뼈)이 부족한 경우 상악동(코 옆의 빈 공간) 점막을 들어올리고 그 공간에 뼈 이식재를 넣어 임플란트가 안정적으로 자리잡을 수 있도록 뼈를 보강하는 수술입니다

#1

#2

#3

상악동 골이식술은 상악 어금니 부위 임플란트 식립에 필수적인 뼈를 확보하는 신뢰도 높은 술식으로, 치조골이 부족한 환자에게 임플란트의 성공률을 높여주는 중요한 수술입니다

Yonsei Tov Info

진료시간 / 오시는 길

Location.

서울 강동구 양재대로 1329 서경빌딩 2층

둔촌동역 3번 출구 직진 250m


Parking.

나이키 매장 옆 주차장 무료주차 가능

🚘  만차일 경우 병원으로 전화 주시면

        주차 가능한 곳을 안내해 드립니다.


Tel.

02. 484. 6078


Time.

월 화 수 금      09:30 - 18:30

목    요   일      플렉서블 휴진 (임시공휴일 있는 주 정상진료)

토    요   일      09:30 - 13:00 (점심시간 없음)

점 심 시 간       13:00 - 14:00

일    요   일          정기 휴진


*목요일/일요일/공휴일은 휴진입니다.

*토요일은 점심시간 없이 진료합니다.

개인정보처리방침 ㅣ 이용약관 ㅣ 비급여안내

연세토브치과의원

대표자 : 황성준 ㅣ 사업자등록번호 : 212-91-50571

문의 : 02-484-6078

주소 : 서울특별시 강동구 양재대로 1329 서경빌딩 2층

메일 : tovdental@naver.com


Copyright 연세토브치과. All Rights Reserved.

Yonsei Tov Info

진료시간 / 오시는 길




Location.

서울 강동구 양재대로 1329 서경빌딩 2층

 둔촌동역 3번 출구 직진 250m


Parking.

나이키 매장 옆 주차장 

무료 주차 가능

🚘  만차일 경우 병원으로 전화 주시면

         주차 가능한 곳을 안내해 드립니다.


Tel.

02. 484. 6078




Time.

월 화 수 금      09:30 - 18:30

목    요   일      플렉서블 휴진 (임시공휴일 있는 주 정상진료)

토    요   일      09:30 - 13:00 (점심시간 없음)

점 심 시 간      13:00 - 14:00

일    요   일          정기 휴진


*목요일/일요일/공휴일은 휴진입니다.

*토요일은 점심시간 없이 진료합니다.


개인정보처리방침  ㅣ  이용약관  ㅣ  비급여안내



연세토브치과의원

대표자 : 황성준  ㅣ  사업자등록번호 : 212-91-50571  ㅣ 문의 : 02-484-6078

주소 : 서울특별시 강동구 양재대로 1329 서경빌딩 2층  ㅣ  메일 : tovdental@naver.com

Copyrightⓒ 연세토브치과 All Rights Reserved.